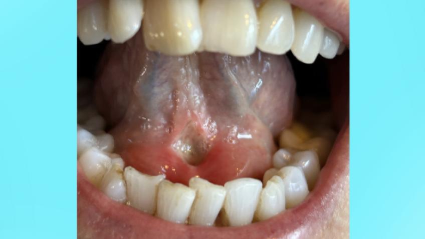
Tongue Tie Release: Been There, Done That — Now What?

A step-by-step guide to healing and reclaiming function after a frenectomy release.

Disclaimer:

•While I am a Licensed Massage Therapist, I am not your massage therapist. This recovery protocol reflects how I manage post-op care with my own patients.  

•If you have been diagnosed with Ehlers-Danlos Syndrome (EDS) or Hypermobility Spectrum Disorder (HSD), you will require more individualized care. In such cases, I strongly recommend working directly with a qualified provider, either in person or virtually. Your recovery plan will need to be tailored and closely monitored.  

•This guide is not a substitute for professional care. If you already have a myofunctional therapist, you should follow the post-op plan they have provided for you. If your release provider has given you specific instructions, I highly recommend you follow their guidance. Once the initial healing phase is complete, it’s essential to continue therapy. Now that the restrictions have been released, the muscles must be retrained to function optimally. Habitual compensation patterns must be addressed to achieve long-term success, and your therapist will be your guide through this process.  

•Neither Jessica Cordell LMT nor TMJology assumes responsibility or liability for any injury, loss, or adverse outcome resulting from the use or misuse of the techniques or information presented. By purchasing this guide, participants acknowledge and agree that they are solely responsible for the care and decisions provided.  

•I have read the disclaimer and understand by purchasing this PDF, I agree I have done so at my own risk. TMJology is not responsible for any injury that may occur. 

Order Summary

    Tongue Tie Release: Been There, Done That — Now What? $79 USD
    Redeem Coupon
    Apply
    Total
    $79 USD

    Contact Information

      Forgot Password?

      Logout

      Payment Information

        By submitting this form you agree to our Terms Of Use and Privacy Policy
        By submitting this form you agree to our Terms Of Use and Privacy Policy